Zum Hauptinhalt springen

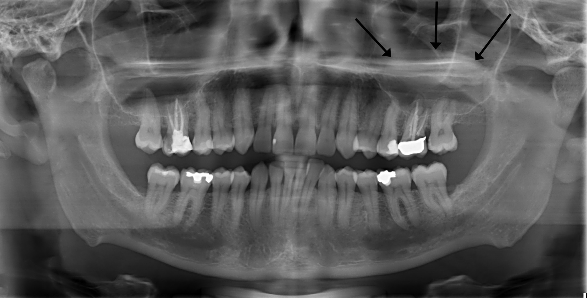
Kieferhöhlen Zyste



In manchen Fällen entstehen Zysten in der Kieferhöhle.

Diese sind meistens harmlos, allerdings muss man diese in manchen Fällen auch entfernen.